موقع اناقة مغربية وشهيوات و وصفات حلويات المغربية للمرأة المغربية الحادكة

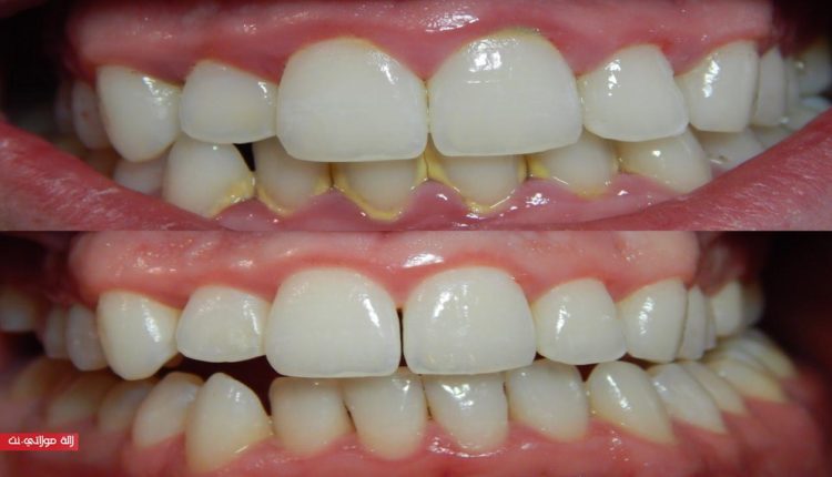
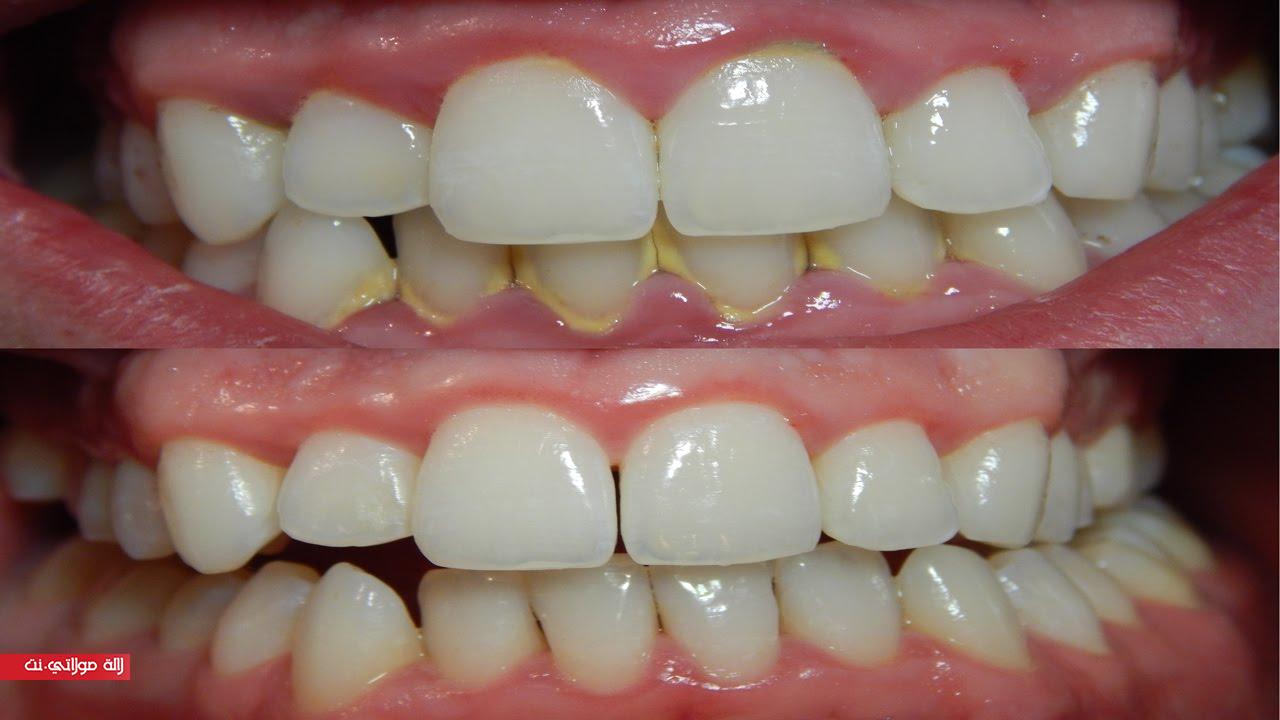
ماغاديش تحتاجو طبيب الأسنان ملي تجربو هاد الوصفة لازالة الكالكير من الأسنان


ماغاديش تحتاجو طبيب الأسنان ملي تجربو هاد الوصفة لازالة الكالكير من الأسنان

 

1

2

3

يعتبر الجير أو البلاك الذي يتراكم على الأسنان نتيجة عوامل عدّة، من أبرز المشاكل التي يعاني منها جميع الناس في مراحل عمرهم المختلفة، ويمثل هذا الجير الرواسب المعدنيّة التي تتكدّس وتتراكم فوق الأسنان والطواحين بشكل كثيف،

طرق إزالة الجير بدون طبيب:

خليط البيكنج صودا، مع نصف ملعقة من الملح، ونصف ليمونة، بالإضافة إلى وضع محلول الغرغرة الخاص بتطهير الفم بأنواعه الطبية المختلفة، أو فقط اعتماد الماء الطبيعي وذلك بإتباع الخطوات التالية:

خلط البيكنج صودا مع الملح في إناء معقم ونقي، ثم تبليل فرشاة الأسنان الخاصة بالمريض بالمياه الساخنة وتجفيفها جيدا، ووضع الخليط عليها وغسل الأسنان بواسطتها  وفركها لمدة لا تقل عن ثلاث دقائق.

المضمضة بالمياه وغسل الفرشاة، ثم وضع عصير الليمون فوق الفرشاة وغسل الأسنان مرة أخرى لمدة دقيقة، ثم المضمضة بمحلول الغرغرة وغسل الفم بالماء البارد.

قد يعجبك ايضا
اترك تعليقا