موقع اناقة مغربية وشهيوات و وصفات حلويات المغربية للمرأة المغربية الحادكة

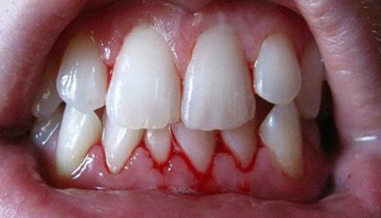
كنت كنعاني من نزيف اللثة فيما نغسل سناني حتى جربت الوصفة السحرية


المكونات :

1

2

3

  • ملعقة من القرنفل المطحون
  • ملعقة من زيت القرنفل
  • ملعقة من الملح

طريقة التحضير :
اخلطي هذه المكونات ثم خذي كمية منها ونظفي بها أسنانك جيدا وثم ادهني بها اللثة واتركيها مدة دقيقتين إلى 3 بعدها اشطفي بالماء وكرري هذه العملية كل يوم لمدة أسبوع وسترين أن اللثة ستعود إلى طبيعتها وستتخلصين من كافة هذه المشاكل.

قد يعجبك ايضا
اترك تعليقا