موقع اناقة مغربية وشهيوات و وصفات حلويات المغربية للمرأة المغربية الحادكة

العلاج الطبيعي الفعال والنهائي لمشكل نزيف اللثة وأمراض الفم


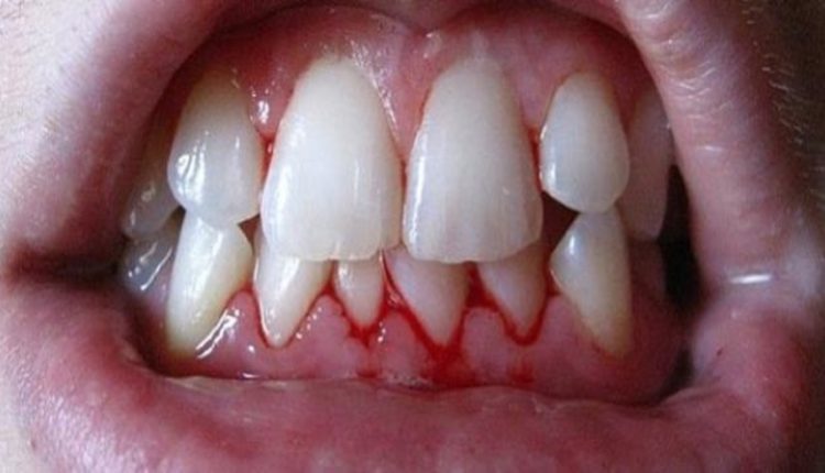
يعد نزيف اللثة من أكثر المشاكل انتشارا، ويعاني منه الكثير من الناس لأسباب متعددة من أبرزها نقص فيتامين (ج)، وتراكم البكتيريا في الفم ويؤدي إلى حدوث التهابات في اللثة مما يعمل على إضعافها ويجعلها أكثر عرضة للنزيف، بالإضافة إلى إصابة الأسنان بالتسوس وانبعاث الروائح الكريهة من الفم، إضافة إلى تحول لون اللثة من الوردي إلى الازرق ، وهنا نقترح عليكم العلاج الطبيعي الذي يخلصكم من هذه المشاكل.
المكونات : ملعقة من القرنفل المطحون + ملعقة من زيت القرنفل + ملعقة من الملح
طريقة التحضير : اخلطي هذه المكونات ثم خذي كمية منها ونظفي بها أسنانك جيدا وثم ادهني بها اللثة واتركيها مدة دقيقتين إلى 3 بعدها اشطفي بالماء وكرري هذه العملية كل يوم لمدة أسبوع وسترين أن اللثة ستعود إلى طبيعتها وستتخلصين من كافة هذه المشاكل.

1

2

3

قد يعجبك ايضا
اترك تعليقا