موقع اناقة مغربية وشهيوات و وصفات حلويات المغربية للمرأة المغربية الحادكة

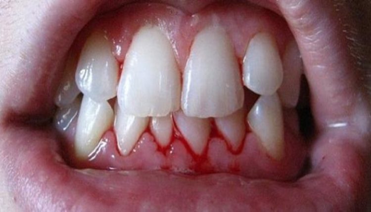
تخلصي نهائيا من مرض الفم ونزيف اللثة ولونها الغامق بهذا العلاج الطبيعي المجرب والمضمون


الكثير من الأشخاص يعانون من مشكلة اللثة ونزيفها الذي قد لا يتوقف طيلة اليوم أو بمجرد أن تتعرض اللثة إلى ضغط بسيط وقد يؤدي هذا الأمر إلى إصابة اللثة باللون الازرق وفقدان لونها الوردي، لهذا حضر لكم العلاج الفعالة من خلال هذه الوصفة البسيطة.
يمكن أن تقومي سيدتي بتحميص كمية من حبوب الشعير في الفرن ثم قومي بطحنها جيدا إلى أن تصبح ناعمة بعدها اخلطيها مع كمية من العسل وضعي الخليط على اللثة والأسنان وغلفي أسنانك واللثة بالورق الألمنيوم واتركي الخلطة عليها لمدة 15 دقيقة ثم اشطفي كرري العملية كل يوم لمدة أسبوع وسترين أن النزيف سيختفي كما أن اللثة ستعود إلى اللون الوردي الطبيعي .

1

2

3

قد يعجبك ايضا
اترك تعليقا