موقع اناقة مغربية وشهيوات و وصفات حلويات المغربية للمرأة المغربية الحادكة

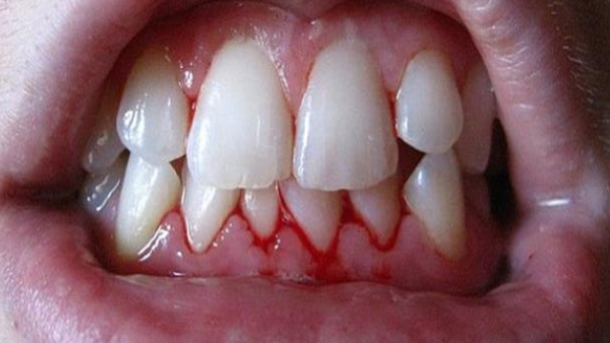
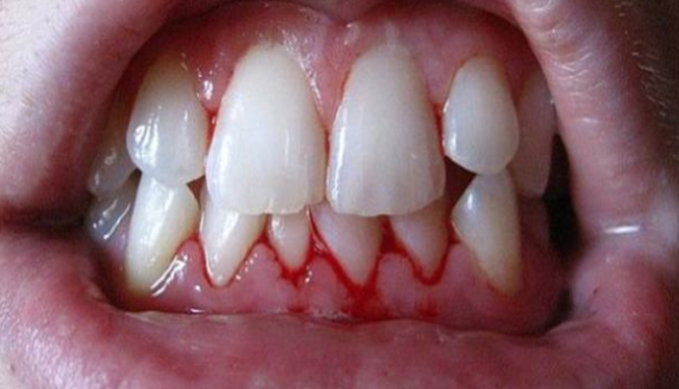
للناس الي كيعانيو من سيلان الدم من الفم جبتليكم الحل النهائي


عندي لك تجربة مدهلة بالقرنفل. خدي قرعة ديال الزاج خاوية تكون نظيفة عملي فيها 20 حبة او 30 عمريها بالماء مثلا عمليها في الليل اخليها حتى الصباح حتى يطلق القرنفل مزيان يرجع لون بني حطيها عندك في الكوزينا انت كديري الشقا ديال الدار وانت كتشلي فمك بالمائ دياء القرنفل .نتيجة رائعة .
1 الريحة الطيبة في الفم
2 ادا كان فمك مريض كيسيل بالدم مكيبقاشي.
3 كيقوي اللثة ديال الاسنان. جربيه والله العظيم احسن بكثير من المواد الكيماوية منظف طبيعي 100في المائة جربيه وردي علي الخبار

1

2

3

قد يعجبك ايضا
اترك تعليقا