موقع اناقة مغربية وشهيوات و وصفات حلويات المغربية للمرأة المغربية الحادكة

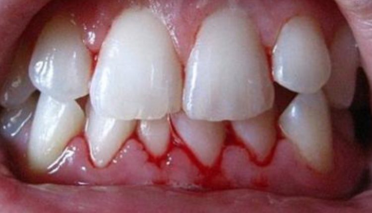
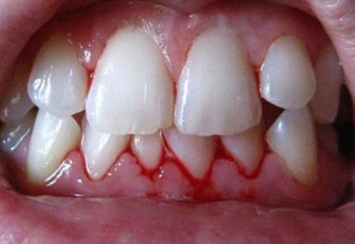
كيفية علاج التهاب اللتة في المنزل


1

2

3

قد يعجبك ايضا
اترك تعليقا