موقع اناقة مغربية وشهيوات و وصفات حلويات المغربية للمرأة المغربية الحادكة

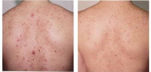
2 وصفات تخلصك من حبوب الظهر بدون زيارة طبيب تجميل


أوراق النعناع :
تساعد أواق النعناع على علاج الحبوب والحكة المصاحبة لها بفضل مادة المينثول التي تعتبر مضاد طبيعي للالتهابات. قومي بسحق حفنة من أوراق النعناع الطازجة ثم اخلطيها مع القليل من الماء لتتشكل لديك عجينة متماسكة، طبقيها على الأماكن ويترك لمدة 15 دقيقةً ثم اشطفي بالماء الفاتر. كرري هذه الوصفة 3 مرات في اليوم حتى تحصلي على نتائج جيدة.
العسل والقرفة :
اخلطي ملعقة صغيرة من مسحوق القرفة مع ملعقتين كبيرتين عسل وملعقة صغيرة عصير الليمون حتى تحصلي على خليط متجانس، طبقيه على أماكن الحبوب في الجسم واتركيه لمدة 15 دقيقة قبل شطفه بالماء البارد. كرري هذه الخلطة بانتظام لتتخلصي من الحبوب بفضل خصائص القرفة العلاجية وعصير الليمون المطهر.

1

2

3

قد يعجبك ايضا
اترك تعليقا