موقع اناقة مغربية وشهيوات و وصفات حلويات المغربية للمرأة المغربية الحادكة

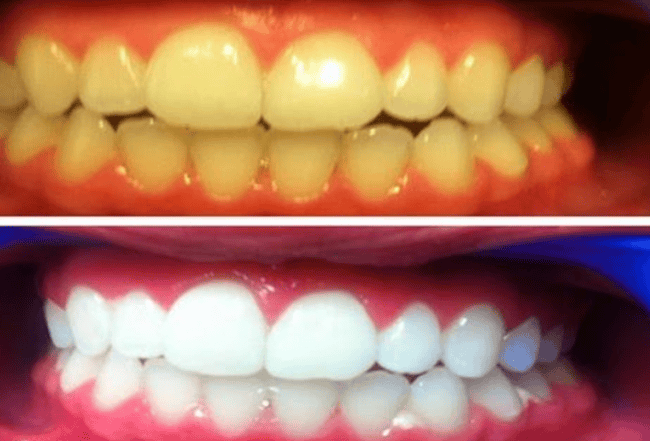
خلطة بيضات لي سنيناتي وعالجات لي اللثة من النفخ وصفة خطيرة


المكونات:
ملعقة ملح
قطرات عصير الليمون
القليل من معجون الاسنان
الطريقة:
نمزج المكونات جيدا نفرش الاسنان 3 مرات في اليوم

1

2

3

قد يعجبك ايضا
اترك تعليقا