موقع اناقة مغربية وشهيوات و وصفات حلويات المغربية للمرأة المغربية الحادكة

بجوج مكونات تهنيت من الكالكير والصفورية فسناني وتهنيت من الطبيب كل شهر


بجوج مكونات تهنيت من الكالكير والصفورية فسناني وتهنيت من الطبيب كل شهر

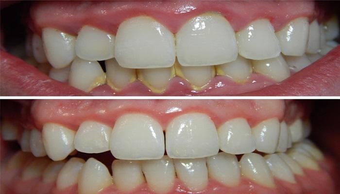
نقدم لك اليوم وصفة منزلية بسيطة جدا لتبييض الأسنان طبيعيا و التخلص من الكلس، لتحصل على ابتسامة مشرقة و جميلة.

1

2

3

المكونات:

ملعقة من العسل

قطعة صغيرة من الخبز

طريقة التحضير :

نقوم أولا بحرق قطعة الخبز جيدا ثم نسحقها حتى تصبح رمادا، بعد ذلك نظيف العسل و نحرك جيدا حتى نحصل على خليط سميك، ثم ندعك الأسنان بالخليط جيدا لبضع دقائق.

قد يعجبك ايضا
اترك تعليقا