موقع اناقة مغربية وشهيوات و وصفات حلويات المغربية للمرأة المغربية الحادكة

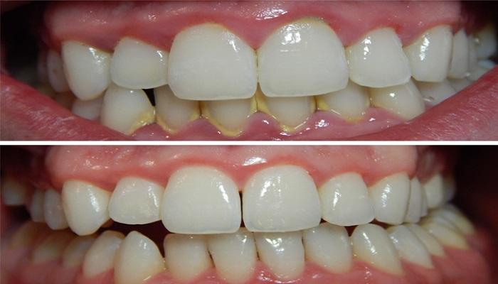
هادي هي الوصفة ولا بلاش ملي تجربوها تهنيكم من الكالكير والصفورية ديال الأسنان


هادي هي الوصفة ولا بلاش ملي تجربوها تهنيكم من الكالكير والصفورية ديال الأسنان

نقدم لك اليوم وصفة منزلية بسيطة جدا لتبييض الأسنان طبيعيا و التخلص من الكلس، لتحصل على ابتسامة مشرقة و جميلة.

1

2

3

مكونات وصفة تبييض الأسنان :

  • ملعقة من العسل
  • قطعة صغيرة من الخبز

طريقة التحضير و الاستعمال:

نقوم أولا بحرق قطعة الخبز جيدا ثم نسحقها حتى تصبح رمادا، بعد ذلك نظيف العسل و نحرك جيدا حتى نحصل على خليط سميك، ثم ندعك الأسنان بالخليط جيدا لبضع دقائق.

 

نقدم لك اليوم وصفة منزلية بسيطة جدا لتبييض الأسنان طبيعيا و التخلص من الكلس، لتحصل على ابتسامة مشرقة و جميلة.

مكونات وصفة تبييض الأسنان :

  • ملعقة من العسل
  • قطعة صغيرة من الخبز

طريقة التحضير و الاستعمال:

نقوم أولا بحرق قطعة الخبز جيدا ثم نسحقها حتى تصبح رمادا، بعد ذلك نظيف العسل و نحرك جيدا حتى نحصل على خليط سميك، ثم ندعك الأسنان بالخليط جيدا لبضع دقائق.

 

قد يعجبك ايضا
اترك تعليقا